Гипоплазия эмали – происходит, нарушение самого первого слоя эмали, поэтому появляются проблемы с зубами. Наблюдаются изменения в формах, внешности у молочных, либо у постоянных зубов.Причины, симптомы
Гипоплазия – чаще всего это врождённый порок, который выражается в недоразвитости зубов. В основном это происходит из-за нарушения обмена веществ в организме у плода матери.
Главная причина происхождения этого процесса.На сам зародыш в утробе матери могут влиять негативные факторы: уменьшение околоплодных вод, неправильное положение плода, препараты, нехватка витаминов либо аномалия первичных закладок зародышевых клеток.Патология беременности является одной из причин. К факторам риска относят беременных женщин, переболевших, ОРВИ, краснухой, токсоплазмозом.
Гипоплазия присутствует у недоношенных новорождённых, у получивших травмы во время родов, или из-за сильного токсикоза у матери. А также употребления не подходящих лекарственных средств, наличие вредных привычек (алкоголь, наркотики, табакокурение), нехватка кальция в организме. Обнаруживается недостаток развития внешнего слоя эмали зубов у половины детей дошкольного возраста и у двадцати процентов взрослого населения.
Клиническая картина заболевания зависит от проблем с внутренними органами. Присутствует в клинической картине такое явление, как неполное развитие эмали на постоянных зубах. Признаками служат: пигментация, белые пятна разной величины, точечные, углубления, перетяжки эмали коронок зубов либо полное отсутствие её. Выделяют несколько клинических картин.
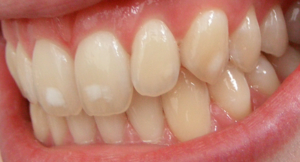
Системная форма – отличия наблюдаются в изменениях цвета эмали зубов. Располагаются на разных зубах белые пятна, присутствует нерегулярная болезненность слизистой, дискомфорт в ротовой полости. Поражённый участок очень гладкий, не меняет свой цвет при взаимодействии с веществами, которые могут окрашивать поверхность зубов и пятна не изменяют вид.
При тяжёлой стадии сложно выявить гипоплазию. Вначале больная эмаль ничем не отличается от здорового слоя, но когда зуб начинает расти наблюдается пигментация. Местная форма наблюдается на постоянных зубах, и виноват в этом воспалительный процесс или механическая травма зачатков зубов. На поверхности зубной эмали наблюдаются коричневые или жёлтые пятна, они расположены на всей поверхности зубного ряда, зубная коронка повреждена либо отсутствует.Гипоплазия эмали приводит к осложнениям. Они зависят от форм заболевания. Повышается чувствительность зубов, формируется аномальный прикус, образовывается кариес, повышается вероятность стирания зубов, при поражении нерва зуба, происходит его разрушение. Заболевание нарушает функции зубов, поэтому они подвержены воздействию инфекции. Во время разрушения молочных зубов происходит следующая патология: повреждение постоянных зубов, угроза для самой полости рта.Диагностика, основное лечение, профилактика болезни
Лёгкая форма не вызывает лечебное вмешательство. В более выраженной клинической картине, нужно обратиться за консультацией к специалисту. Диагностика на ранних стадиях осложняется схожими признаками развития кариеса. Во время первичного осмотра врач-стоматолог в состоянии поставить правильный диагноз.
Курс лечения назначают при характерной выраженности нарушения эмали. При одиночных пятнах лечение не проводится. Врач, может, назначить профилактические меры. Однако пациент может воспользоваться профилактическим отбеливанием эмали своих зубов. Для этого используют лазерные, химические, ультрафиолетовые методы.
В случае ярко выраженных пигментных пятен, производят шлифовку поверхности зубов. Он предотвращает развитие патологии, после процедур наблюдается эстетический эффект.
В случае выявления смешанной формы, стоматолог использует пломбирование зубов либо другие качественные процедуры и материалы для того, чтобы обеспечить лучшую защиту для эмали поражённых зубов. Если у пациентов на зубе отсутствует или поражена эмаль до крайней степени , то таким пациентам, как правило, рекомендуют задуматься над установкой зубного имплантата или коронки. Это поможет предотвратить развития кариеса, а также получится эстетический эффект.
Пациентам, страдающим наследственной предрасположенностью, нужно посещать специалиста каждые полгода для профилактических мер. Надо проходить полное обследование для выявления новых симптомов болезни и дальнейшего их устранения.
Профилактика включает в себя определённые меры, которые предотвращают развитие тяжёлых стадий. А также методы, которые устранят патологии развития беременности. Составляют сбалансированное питание, где присутствуют витамины, минералы, постараться исключить детский травматизм, своевременно обращаться к специалистам для лечения разных инфекционных заболеваний. Прописывают определённые меры для улучшения обмена веществ. Вовремя лечить детский кариес.
После установки гипоплазии эмали необходимо выполнять все рекомендации врача. С детства следить за полостью рта и применять все необходимые меры для устранения осложнений.







